Ung thư nội mô mạch máu ở vị trí hiếm
Ung thư nội mô mạch máu có thể xuất hiện ở nhiều vị trí hiếm gặp như tim, xương hay ruột, khiến chẩn đoán và điều trị trở nên khó khăn, dễ bị phát hiện muộn.
Angiosarcoma là dạng ung thư ác tính xuất phát từ tế bào nội mô mạch máu hoặc bạch mạch, có tính chất phát triển nhanh, dễ lan tràn và tái phát cao. Thông thường, angiosarcoma xuất hiện trên da vùng đầu-mặt-cổ, nhất là da đầu, hoặc liên quan tới các vùng đã từng bị xạ trị hoặc phù mô.
Tuy nhiên, có nhiều trường hợp ghi nhận loại u này xuất hiện ở những vị trí bất thường như: nội tạng, xương, khoang tim, bàng quang, miệng/hàm gây thách thức lớn cho bác sĩ trong phát hiện, chẩn đoán và điều trị.
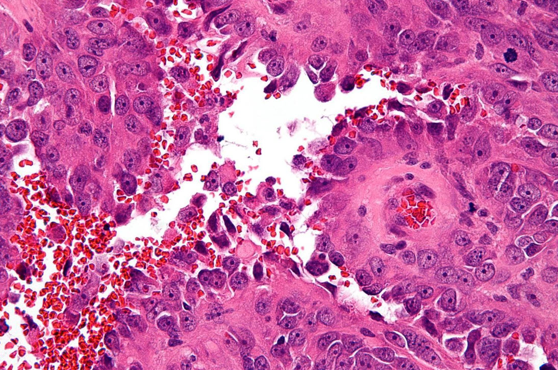
Hình ảnh mô bệnh học cho thấy các tế bào nội mô mạch máu tăng sinh bất thường – đặc trưng của ung thư angiosarcoma.
Những vị trí hiếm gặp và trường hợp thực tế
Một số báo cáo gần đây cho thấy angiosarcoma xuất hiện ở các vị trí sau:
Ruột trực tràng: Một người đàn ông 41 tuổi xuất hiện chảy máu hậu môn và đau bụng; hình ảnh và sinh thiết xác định angiosarcoma trực tràng. Phương pháp điều trị kết hợp giữa xạ trị và phẫu thuật đã được sử dụng.
Da chân (chân dưới) ở bệnh nhân không có yếu tố nguy cơ như xạ trị, phù mô/chấn thương trước đó, khối u xuất hiện lớn, biểu hiện da thay đổi, xuất huyết, phát triển nhanh.
Miệng/hàm (alveolus, hàm trên-xương hàm): một bệnh nhân phát triển khối u ở vùng hàm kỳ lạ, soft tissue mềm, loét nhanh, chảy máu, khối u có biểu hiện lan đến mô mềm lân cận và di căn.
Xương (tibia): Khối u xương thường biểu hiện đau, sưng, tiến triển nhanh, ảnh hưởng tới cấu trúc xương và chức năng chi.
Tim (cardiac angiosarcoma): Khối u nội tâm thất thường phát hiện muộn vì triệu chứng ban đầu mơ hồ như đau ngực, khó thở, thậm chí được chẩn đoán nhầm là giả phình (pseudoaneurysm) hoặc bệnh tim mạch.
Bàng quang: Angiosarcoma nguyên phát tại bàng quang là cực kì hiếm; bệnh nhân có biểu hiện tiểu máu, đau khi đi tiểu; điều trị khó khăn và tiên lượng thường kém.
Những thách thức khi xuất hiện ở vị trí bất thường
Triệu chứng mơ hồ, dễ nhầm lẫn
Vì vị trí không quen thuộc, triệu chứng dễ bị gán cho các bệnh nhiễm trùng, viêm, chấn thương hoặc các u lành. Ví dụ angiosarcoma miệng có thể bị nhầm với loét miệng do viêm hay loét do chấn thương; angiosarcoma tim bị nhầm giả phình hoặc bệnh tim mạch khác.
Chẩn đoán muộn
Do không nghĩ tới angiosarcoma ban đầu, bệnh nhân thường phải trải qua nhiều lần khám, điều trị triệu chứng trước khi làm sinh thiết. Việc này khiến khối u có cơ hội phát triển, lan sang mô xung quanh hoặc di căn trước khi điều trị.
Chẩn đoán mô bệnh học và miễn dịch học cần cẩn trọng
Sinh thiết là bắt buộc. Các dấu hiệu mô học như tế bào nội mô bất thường, thành mạch bất thường, thể hiện sự tăng sinh mao mạch, nhân dị dạng, nhiều phân bào. Miễn dịch học (ví dụ CD31, ERG, CD34) giúp xác nhận nguồn gốc nội mô. Loại bỏ các dạng giả như u mạch lành, u mạch máu nhỏ, các tổn thương mạch máu phản ứng.
Điều trị phức tạp và thiếu hướng dẫn chuẩn cho vị trí bất thường
Vì ít ca, không có bộ hướng dẫn rõ ràng cho nhiều vị trí hiếm. Thông thường, cần phẫu thuật nếu có thể với bờ rộng, kèm xạ trị hoặc hóa trị phụ trợ khi cần. Trong trường hợp tim hoặc nội tạng sâu, phẫu thuật có thể không đủ, phải dùng hóa trị, xạ trị hoặc các liệu pháp hỗ trợ khác.
Tiên lượng thường xấu hơn khi di căn hoặc tái phát
Vị trí bất thường thường đi kèm với phát hiện muộn, khó phẫu thuật triệt để, di căn sớm, lẫn lộn với chẩn đoán sai nên tiên lượng sống thấp hơn so với angiosarcoma da vùng đầu-mặt hoặc những khu vực dễ tiếp cận.
Các bước điều trị hiệu quả
Dưới đây là các nguyên tắc điều trị được nhiều chuyên gia đầu ngành đồng thuận khi điều trị angiosarcoma ở vị trí bất thường:
- Đội ngũ đa ngành (multidisciplinary team): bác sĩ ngoại, bác sĩ ung bướu, bác sĩ y tế hình ảnh, chuyên gia phẫu thuật mạch máu, bác sĩ phẫu thuật thần kinh hay nha khoa tùy vị trí, phối hợp chặt chẽ để lập kế hoạch điều trị tối ưu.
- Phẫu thuật nếu khả thi, lấy bờ âm tính: nếu có thể phẫu thuật, mục tiêu là cắt bỏ triệt để với bờ rộng để giảm nguy cơ tái phát. Với những vị trí sâu hoặc không thể phẫu thuật triệt để, cân nhắc kết hợp với xạ trị.
- Xạ trị và hóa trị bổ trợ: sau mổ hoặc nếu phẫu thuật hoàn chỉnh không khả thi, sử dụng xạ trị (hoặc xạ ngoài, IMRT, VMAT nếu vùng khó) để kiểm soát tại chỗ; hóa trị để kiểm soát di căn hoặc khối u tiến triển.
- Theo dõi chặt chẽ: sau điều trị, cần theo dõi bằng hình ảnh định kỳ (CT, MRI, PET) để phát hiện tái phát hoặc di căn sớm. Đối với những vị trí bất thường, phải có chỉ số cao về cảnh giác.
- Nghiên cứu thử nghiệm lâm sàng: vì dữ liệu hiện còn hạn chế, việc tham gia các thử nghiệm về thuốc nhắm trúng đích, miễn dịch trị liệu hoặc các phân tử mới là rất quan trọng.
Bệnh nhân được chụp MRI để xác định vị trí khối u mạch máu hiếm gặp trước khi tiến hành phẫu thuật điều trị.
Tiên lượng và khả năng sống
Tiên lượng của angiosarcoma nói chung đã được cải thiện, nhưng vẫn phụ thuộc rất lớn vào:
- Giai đoạn phát hiện.
- Vị trí khối u (vị trí bất thường thường khó can thiệp hơn).
- Khả năng phẫu thuật triệt để.
- Tình trạng di căn tại thời điểm chẩn đoán.
Người bệnh có thể sống tốt hơn nếu phát hiện sớm, điều trị đầy đủ, và có thể bảo tồn chức năng ở vị trí khối u nếu phẫu thuật và liệu pháp hỗ trợ tốt.
Lời khuyên
Người dân: khi xuất hiện khối u mới bất thường, có biểu hiện đau, chảy máu, loét, tăng kích thước nhanh, đặc biệt ở những nơi không thường bị u — hãy đi khám chuyên sâu ngay, không nên trì hoãn.
Bác sĩ tuyến cơ sở: nếu gặp tổn thương da, mô mềm, nội tạng với triệu chứng bất thường hoặc không đáp ứng điều trị thông thường — nên nghĩ đến angiosarcoma và làm sinh thiết gửi bệnh phẩm chuyên môn cùng xét nghiệm miễn dịch.
Hệ thống y tế: cần xây dựng hồ sơ ca bệnh, trung tâm chuyên sâu về sarcoma/angiosarcoma để chia sẻ kinh nghiệm, hỗ trợ tư vấn và thử nghiệm lâm sàng.
Theo suckhoedoisong.vn


