Ung thư tuyến giáp thể nhú có nguy hiểm không?
Ung thư tuyến giáp thể nhú là dạng phổ biến nhất, tiến triển chậm và tiên lượng tốt. Việc phát hiện sớm giúp điều trị hiệu quả và giảm nguy cơ tái phát.
Ung thư tuyến giáp thể nhú (Papillary Thyroid Carcinoma - PTC) là dạng ung thư tuyến giáp phổ biến nhất, chiếm khoảng 80–85% tổng số ca ung thư tuyến giáp. Đây là bệnh lý ác tính xuất phát từ tế bào biểu mô nang giáp và có đặc điểm tiến triển chậm, tiên lượng tốt nếu được phát hiện và điều trị kịp thời. Tuy nhiên, hiểu rõ về bệnh vẫn là điều cần thiết để đảm bảo hiệu quả điều trị và phòng ngừa tái phát.
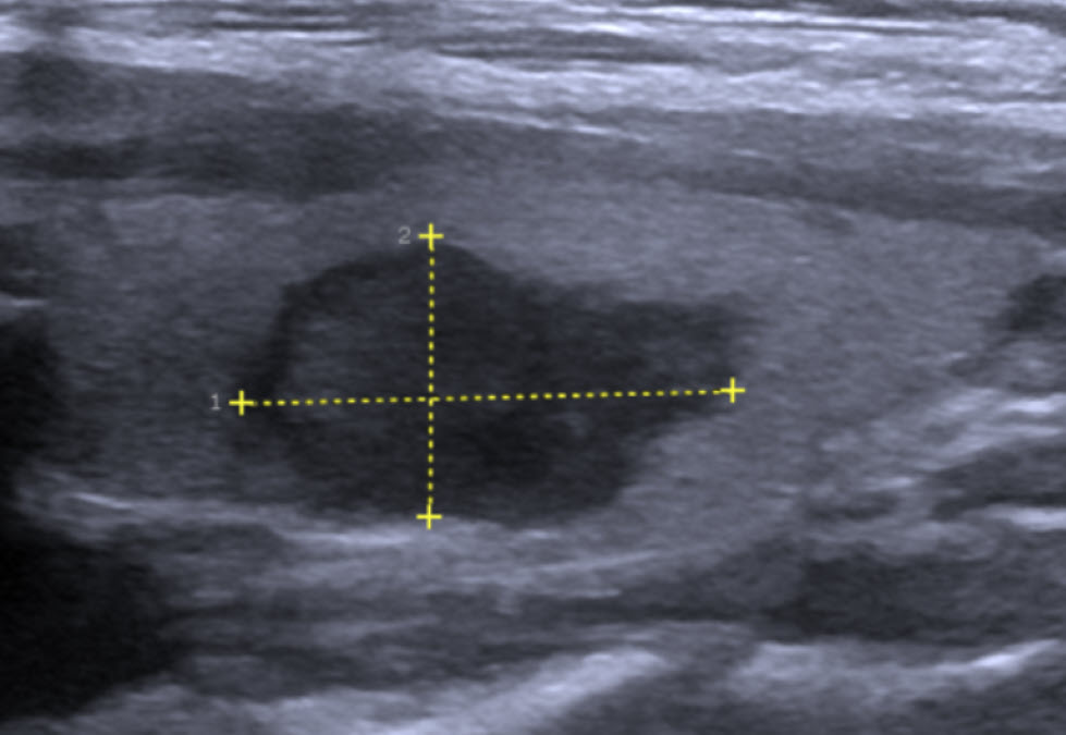
Khối u tuyến giáp thể nhú trên phim siêu âm: Hình ảnh giúp phát hiện và đánh giá kích thước, cấu trúc u, là bước đầu quan trọng trong chẩn đoán ung thư tuyến giáp.
Ung thư tuyến giáp thể nhú là gì?
Tuyến giáp là một tuyến nội tiết nằm ở vùng cổ trước, có chức năng sản xuất hormone điều hòa quá trình chuyển hóa và hoạt động của nhiều cơ quan trong cơ thể. Ung thư tuyến giáp thể nhú là loại u ác tính phát sinh từ các tế bào biểu mô nang, có dạng hình nhú khi quan sát dưới kính hiển vi.
Đây là dạng ung thư tuyến giáp phổ biến nhất ở cả nam và nữ, nhưng thường gặp hơn ở nữ giới, đặc biệt trong độ tuổi từ 30 đến 50. Nguyên nhân chính xác gây bệnh chưa được xác định hoàn toàn, nhưng các yếu tố nguy cơ được ghi nhận bao gồm:
Tiếp xúc với phóng xạ, đặc biệt ở vùng cổ trong thời thơ ấu.
Yếu tố di truyền, có thể liên quan đến các hội chứng di truyền như hội chứng Cowden hoặc hội chứng Gardner.
Mắc các bệnh lý tuyến giáp lành tính trước đó như bướu giáp đa nhân, viêm tuyến giáp Hashimoto.
Triệu chứng và dấu hiệu nhận biết ung thư tuyến giáp thể nhú
Trong nhiều trường hợp, ung thư tuyến giáp thể nhú không gây triệu chứng rõ rệt và thường được phát hiện tình cờ khi khám sức khỏe định kỳ hoặc khi siêu âm vùng cổ vì lý do khác.
Một số triệu chứng có thể gặp bao gồm:
- Xuất hiện khối u ở cổ, không đau, phát triển chậm.
- Cảm giác vướng, khó nuốt hoặc khàn tiếng (nếu u chèn ép thần kinh thanh quản).
- Sưng hạch bạch huyết vùng cổ.
- Trong một số trường hợp hiếm, có thể có đau nhẹ vùng cổ hoặc hàm dưới.
Tuy nhiên, cần lưu ý rằng không phải khối u nào ở tuyến giáp cũng là ung thư. Đa số là các u lành tính như u tuyến hoặc bướu nhân.
Các phương pháp chẩn đoán
Chẩn đoán ung thư tuyến giáp thể nhú bao gồm sự kết hợp giữa lâm sàng, hình ảnh học và xét nghiệm mô bệnh học:
- Siêu âm tuyến giáp: Là phương pháp đầu tay để đánh giá đặc điểm của khối u. Các dấu hiệu nghi ngờ ác tính bao gồm vi vôi hóa, rìa không đều, tăng sinh mạch máu trung tâm...
- Chọc hút tế bào bằng kim nhỏ (FNA): Giúp lấy tế bào từ khối u để xác định tính chất lành hay ác. Đây là phương pháp chẩn đoán xác định có độ chính xác cao.
- Xét nghiệm máu: Đo nồng độ thyroglobulin (Tg) và TSH giúp theo dõi và đánh giá sau điều trị.
- Chụp CT, MRI hoặc PET-CT (trong các trường hợp nghi ngờ xâm lấn hoặc di căn xa).
Điều trị ung thư tuyến giáp thể nhú
Phẫu thuật
Phẫu thuật là phương pháp điều trị chủ yếu:
Cắt thùy tuyến giáp (lobectomy): Áp dụng trong trường hợp khối u nhỏ (<1cm), chưa lan ra ngoài tuyến giáp và không có dấu hiệu di căn hạch.
Cắt toàn bộ tuyến giáp (total thyroidectomy): Được lựa chọn khi khối u >1cm, đa ổ, có nguy cơ cao tái phát hoặc có di căn hạch vùng cổ.
Nếu phát hiện hạch cổ di căn, bác sĩ sẽ tiến hành nạo vét hạch cổ chọn lọc trong cùng thời gian phẫu thuật.
Phẫu thuật cắt bỏ tuyến giáp là phương pháp điều trị chính giúp loại bỏ hoàn toàn khối u và ngăn ngừa tái phát ung thư thể nhú.
Điều trị Iod phóng xạ (RAI)
Sau phẫu thuật, một số bệnh nhân sẽ được chỉ định uống iod phóng xạ I-131 để tiêu diệt những tế bào ung thư còn sót lại. Phương pháp này giúp giảm nguy cơ tái phát, đặc biệt trong các trường hợp có nguy cơ cao.
Liệu pháp hormone
Sau khi cắt bỏ tuyến giáp, bệnh nhân cần sử dụng hormone thay thế levothyroxine suốt đời để duy trì chức năng nội tiết và ức chế TSH – yếu tố kích thích sự phát triển của tế bào ung thư tuyến giáp còn sót lại.
Tiên lượng và theo dõi sau điều trị
Ung thư tuyến giáp thể nhú nhìn chung có tiên lượng rất tốt:
Tỷ lệ sống sót sau 5 năm > 95%.
Với những trường hợp được điều trị sớm, khả năng khỏi bệnh hoàn toàn là rất cao.
Tuy nhiên, nguy cơ tái phát vẫn có thể xảy ra, đặc biệt ở những người có biến thể thể nhú "dạng tế bào cao", thể lan rộng hoặc thể kém biệt hóa.
Theo dõi sau điều trị bao gồm:
Khám định kỳ 6 tháng – 1 năm.
Định lượng thyroglobulin huyết thanh (chất chỉ điểm ung thư tuyến giáp).
Siêu âm tuyến giáp và vùng cổ định kỳ.
Biến thể của ung thư thể nhú
Mặc dù phần lớn các ca ung thư tuyến giáp thể nhú có tiên lượng tốt, nhưng một số biến thể mô học đặc biệt có thể có tính xâm lấn cao, bao gồm:
- Thể cao (tall cell variant)
- Thể lan rộng xâm lấn (diffuse sclerosing variant)
- Thể cột (columnar cell variant)
Những thể này đòi hỏi chiến lược điều trị tích cực hơn và theo dõi sát hơn sau điều trị.
Nếu bạn hoặc người thân có bất kỳ dấu hiệu nghi ngờ nào, hãy đến các cơ sở y tế chuyên khoa để được khám và tư vấn cụ thể.
theo suckhoedoisong.vn


